Dental Bone Grafting in Hurstville
Restore Strength to Your Smile at Forest Road Dental
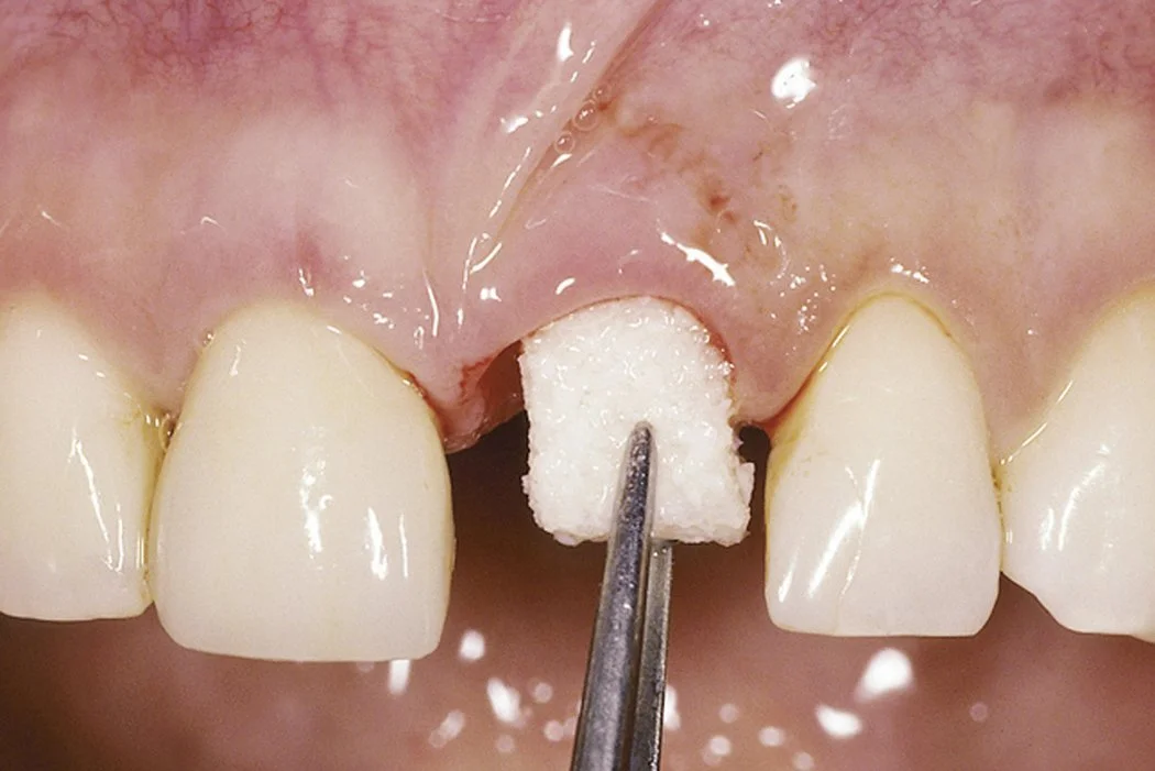
At Forest Road Dental, we may recommend bone grafting to help rebuild and strengthen areas of your jaw where bone has been lost. This common and effective procedure is often used to support dental implants, prevent further bone loss, or maintain facial structure after tooth loss.
What Is a Dental Bone Graft?
A dental bone graft is a minor surgical procedure that adds bone to parts of the jaw that have weakened. This helps create a stable foundation for future treatments—like implants—or to protect surrounding teeth and gums from further damage.
Bone loss can occur after a tooth is removed, due to gum disease, or simply as part of the aging process. A bone graft helps regenerate healthy bone and maintain the natural shape of your jaw.
When Do You Need a Bone Graft?
Your dentist at Forest Road Dental may recommend a bone graft if:
You're planning to get a dental implant and need more bone support
You've recently had a tooth extraction
You've experienced gum disease or injury that affected your jawbone
You want to preserve your facial shape after losing teeth
Types of Bone Grafts We Offer
Depending on your situation, we may recommend one of the following:
1. Socket Graft -
Placed at the time of tooth extraction to prevent bone loss in that area.
2. Block Graft -
Used in more severe cases of bone loss. A small block of bone is taken from another area (often the back of the jaw) and placed in the affected site.
3. Sinus Lift -
Used when additional bone is needed in the upper back jaw, especially before placing implants near the sinuses.
What to Expect During the Procedure
Bone grafting is typically performed in our Hurstville dental clinic and takes less than two hours. It’s done under local anaesthetic, and most patients report minimal discomfort.
We may use:
Bone from your own body (usually another part of your mouth), or
Safe donor material from a bone bank or animal source, which avoids a second surgical site
Healing Time
Initial healing takes a few weeks, but the new bone may take several months to fully fuse and strengthen—especially if you're preparing for a dental implant.
Why Choose Forest Road Dental?
For over 30 years, Forest Road Dental has been helping the Hurstville community with expert, compassionate dental care. Our experienced team is here to guide you through every step of your treatment, from initial consultation to full recovery.
✔ Gentle and caring team
✔ Modern techniques and materials
✔ Convenient location in Hurstville
✔ Clear communication every step of the way
Book Your Consultation Today
If you're considering dental implants or have been told you may need a bone graft, we’re here to help.
Let’s work together to rebuild your smile with confidence.
Courtesy: Geistlich AU

